一、簡介
攝護腺良性增生,是由於睪丸所分泌的雄性激素所造成,95%好發於9歲齡以上未結紮的公狗,西高地白梗、伯恩山犬、杜賓犬等為好發犬種,罕見於公貓。
二、臨床症狀
攝護腺良性增生是正常老化現象,不一定會有臨床症狀,如果過度肥大壓迫直腸,造成便秘、裏急後重、糞便形狀改變、排尿困難、血尿等,因為狗狗的攝護腺肥大是以攝護腺為中心向外增生,很少完全壓迫泌尿道造成無尿,不同於人類攝護腺肥大是向內增生。
三、檢查項目
- 腹腔觸診、直腸觸診:用以區別排便困難、血尿/排尿困難之病因,可能會透過直腸觸診發現攝護腺肥大,壓迫直腸造成狹窄。
- 尿液檢查:用以區別是否伴隨尿路感染、結晶等問題,由於攝護腺肥大時可能會有囊樣增生或細菌躲在攝護腺裡造成感染。
- X光或超音波檢查:用以區別是否有膀胱、尿路結石,一同檢查攝護腺型態與結構是否異常。
四、採樣
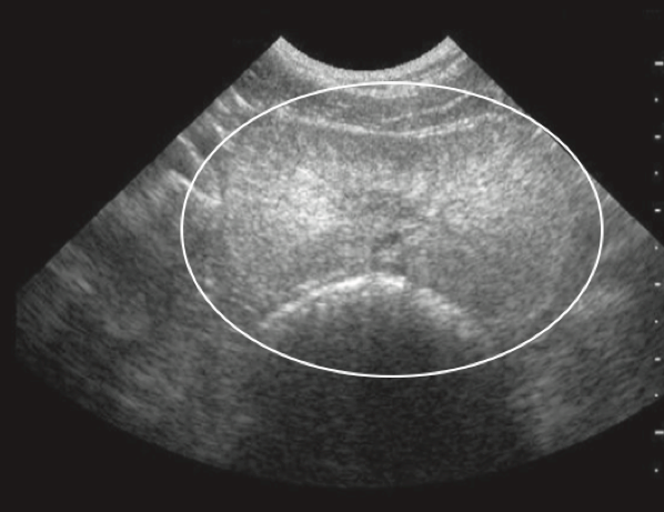
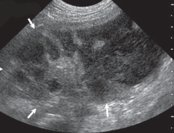
由超音波檢查攝護腺時,良性攝護腺肥大增生時,攝護腺會對稱性且均值地曾厚,但如果出現囊泡樣增生、外型不對稱、結構改變,如下圖,可能需要藉由細針採樣,將部分攝護腺細胞透過顯微鏡觀察型態,以區分良性增生、惡性增生、感染等情形。

圖一、攝護腺良性增生

圖二、攝護腺炎
五、治療
手術治療
當沒有臨床症時不需要介入處理,而目前沒有有效的藥物能治療攝護腺良性增生,部分藥物包含賀爾蒙、類固醇等可以減緩增生情形,但停藥後可能再度復發,或藥物本身會有副作用。目前以手術將睪丸摘除為最好的手術方式,如同一般常見的公狗結紮,通常於結紮後3~12週增生的攝護腺會逐漸萎縮而改善臨床症狀。