狗貓的泌尿系統出現腫瘤的機會並不高,大約是狗貓全部腫瘤比例不到2%,不過泌尿系統當中以膀胱出現腫瘤的機率最高,其中移型上皮細胞瘤(Transitional Cell Carcinoma, TCC)是膀胱最常見的腫瘤類型,其他較少出現的還有squamous cell carcinoma, adenocarcinoma, undifferentiated carcinoma, rhabdomyosarcoma, fibroma, and
other mesenchymal tumors。
狗貓的泌尿系統出現腫瘤發生的年齡大多出現在10歲上下,大多與除蟲劑以及除草劑有關,此外也有研究指出肥胖有一定的關聯性。
最常出現腫瘤的位置大約在膀胱三角區(trigone),此外也容易局部轉移到前列腺,腸胃道淋巴結、肝臟、脾臟、肺臟,骨頭偶爾也會被轉移。
二、臨床症狀
膀胱腫瘤的臨床症狀與泌尿道感染類似,因此第一時間難以診斷已罹患腫瘤,而骨骼方面的症狀與腫瘤轉移有關。
- 排尿困難
- 血尿
- 頻尿
- 跛腳
三、診斷
血液學檢查部分可能無明顯異常,有時會因為血尿有輕微貧血。當輸
尿管已經被腫瘤侵犯時,腎指數則會升高。
尿檢檢察使用穿刺採樣可能會造成腫瘤沿著針筒轉移,因此應避免穿
刺而採用導尿管或是自然收尿的方式取得尿液。此外細胞學的結果並不可靠,因此必須依賴組織學切片。
X光片單獨照射無法直接看到腫塊,必須搭配顯影劑才能夠看到膀胱內部的結構。
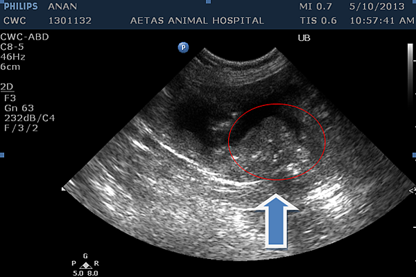
超音波是診斷膀胱腫瘤的第一個工具,除了檢查膀胱是否有腫塊出現之外,還可以評估是否有局部轉移的發生,不過嚴重的膀胱炎與膀胱腫瘤在超音波下難以辨認,所以還是必須依賴組織學切片。

超音波檢查: 箭頭處指出膀胱三角區處出現明顯腫塊

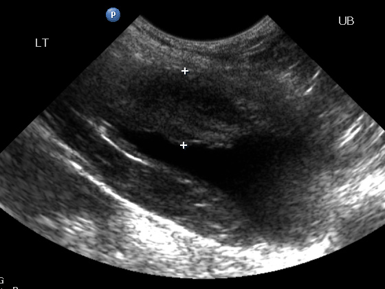
超音波檢查: 此膀胱腫塊發生在前、中段膀胱,較少見。
組織切片的採樣是診斷膀胱腫瘤的不二法則,目前能夠使用的方式包含了傳統的開腹腔膀胱採樣,膀胱鏡以及導尿管採樣。膀胱鏡的好處是不必打開腹腔,動物只需要鎮靜就可以操作,而且不會任何傷口的微創手術,唯一的限制是當動物體型太小時膀胱鏡無法進入。導尿管採樣是利用尿管在膀胱內創造傷口刮取組織,此方法可能無法採到足夠的檢體。
四、治療
1.手術
對於移型上皮細胞瘤(Transitional Cell Carcinoma, TCC)來說手術並非是好的治療方式,因為大部分都出現在膀胱三角區,因此手術頂多只能做到局部切除,且膀胱三角區部位的手術必須要將輸尿管移植到膀胱尖端,且術後會出現尿失禁等症狀。若是整個膀胱摘除,則必須將輸尿管移植到結腸或是皮膚,移植到結腸可能會併發腎盂腎炎,到皮膚則可能出現排尿困難甚至也會出現腎盂腎炎。
因此手術的目的有三: 一、為了取得組織採樣診斷(腫塊並非被完全摘除);二、切除離膀胱三角區較遠的腫塊;三、維持或是重建尿路。
值得注意的是,膀胱腫瘤能夠被完全切除的機率大約為3%,而且未來腫瘤復發的機率非常高,另外尿路重建的動物,術後的存活時間也不超過5個月。
2.放療
因為移型上皮細胞瘤(Transitional Cell Carcinoma, TCC)大部分都出現在膀胱三角區,因此放射線治療會造成很大的併發症,影響到生活品質。
3.內科治療
最常使用的藥物則是NSAID類的止痛藥piroxicam(0.3mg/kg sid PO),大部分的病患對於此藥的反應都不錯,除了腫瘤能夠被部分抑制之外,動物的生活品質也會有一定程度改善。不過止痛藥對動物來說常見的副作用就是胃潰瘍,除了不能空腹服用此藥物之外,當看到排泄物為黑便必須立即停藥並與醫生聯絡,另外使用止痛藥對於肝臟以及腎臟的負擔較大。
化療藥物的首選為Mitoxantrone,此藥台灣並未上市,而且藥物單價較其他藥物高。
其他化療藥物還可以使用cisplatin 或是carboplatin,不過雖然cisplatin效果較好,但合併NSAID容易引發腎衰竭所以大多使用carboplatin。緊急用藥可以使用vinblastin。
4.其他治療
膀胱內注射化療藥在人醫被廣泛的使用,不過大多用在早期發現的膀胱腫瘤,動物因為發現時間晚,腫瘤大多已經侵犯到肌肉層,所以效果不佳。
五、預後
移型上皮細胞瘤(Transitional Cell Carcinoma, TCC)預後不佳,存活時間通常不超過6個月,但是有少部分動物單獨服用止痛藥存活時間可以長達1年。