惡性腫瘤(癌症)已經連續數年蟬聯人類死亡病因的第一名,與我們生活環境幾乎一模一樣的狗貓也面臨同樣的問題,超過10歲的狗貓有將近一半的機會(45%)得到惡性腫瘤(癌症),而無論是狗還是貓,老年死亡原因的前三名也同樣都是癌症,因此如何治療癌症就成為現今獸醫師以及飼主最重要的課題。
許多人會問醫師: 狗貓的癌症是不是絕症,是不是沒有藥醫?
惡性腫瘤(癌症)是可以治療的! 但是在回答這個問題之前,必須先跟大家說明白腫瘤醫師是怎麼來對付惡性腫瘤癌症。
無論是人醫還是獸醫,大家對付腫瘤的方向都是一樣的,就是分為治療(Treat)以及治癒(Cure)。
- 治療(Treat):目的: 想辦法讓病情好轉,延緩腫瘤轉移及惡化。
- 治癒(Cure): 目的: 盡各種方法治好這個疾病,不會因為癌症死亡。
簡單來說,大部分的惡性腫瘤(癌症)是可以透過治療(Treat)來改善生活品質、延長存活時間,但是狗貓最後還是會因為這個疾病而死亡。而有少部分的惡性腫瘤(癌症)是可以被治癒(Cure)的,也就是不再罹患這個疾病,不會因為這個疾病死亡。
舉例來說,惡性骨肉瘤(骨癌)通常無法治癒,但是可以透過化療讓動物減少癌症造成的骨頭疼痛讓病患過得更舒服,並延長存活時間,但是終究會因為轉移而死亡;另一個常見的淋巴癌(血癌)在化療的控制下不但會改善生活品質,而且有3%的治癒率。
如果你認為3% 太低,那麼請看看下面兩個在愛達司動物醫院成功治癒的案例。
貓淋巴癌-黑糖(化名)
黑糖是一隻10歲已結紮的米克斯母貓,當天就診的主述為罹患淋巴癌四個月並且已經經過化學治療後產生抗藥性,飼主已經無法投口服藥且貓咪已經多天不願意進食。
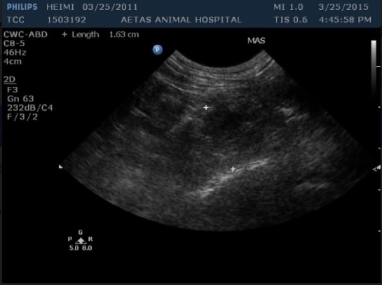
當天的檢驗腹腔超音波發現脾臟前方有腫塊,理學檢查肩頰前淋巴結腫大,腫塊細針採樣後確診為淋巴癌。

圖一: 脾臟前方出現1.63cm 腫塊。
黑糖在吃了幾天高劑量類固醇恢復了精神跟食慾之後開始一系列的治療,針對過去沒有使用過的化療藥物混合給予。
這個案例比較特別的是貓咪第一時間是在別間動物醫院先行使用單一種化療藥物並產生抗藥性,而淋巴癌只使用單一種化療藥其實治療效果較差且較容易產生抗藥性(相關淋巴癌治療請參考過去文章),因此面對黑糖時要面對的挑戰會比一般的貓咪還高。
不同化療藥物混合使用治療後半年黑糖的腫瘤又產生了抗藥性,這時我們只剩最後一線的用藥而黑糖也已經超過一般淋巴癌貓咪的平均存活時間(平均存活時間為6~9個月),不過對黑糖來說最後一線用藥反而是效果最好的藥物,服用一周之後腫瘤全部消退,並在穩定控制兩個月後嘗試停止治療,至今也沒有再復發。
結論:當癌細胞對某種藥物的效果良好時,黑糖從淋巴癌末期轉變成治癒這個疾病,而他就是那3%。
狗淋巴癌-可魯(化名)
可魯是一隻9歲沒有結紮的母米克斯犬,主述為其他醫院摸到淋巴結腫大建議轉診治療,當就診天觸診全身淋巴結腫大,細針採樣診斷為淋巴癌,腹腔超音波以及胸腔X光無明顯異常,診斷為第三期淋巴癌。
細針採樣發現大多為淋巴癌細胞

由於可魯為沒有結紮的母犬,擔心會因為化療導致免疫系統下降而成為子宮蓄膿的高風險群,因此先安排母狗結紮手術,並於傷口癒合後開始進行化療。
相較於黑糖,可魯是第一時間就在愛達司動物醫院治療並開始使用多種藥物混合使用的療程,雖然腫瘤控制良好且期間都沒有產生抗藥性,但是在幾次治療之後,可魯情緒上開始出現轉折,每次使用靜脈留置針施打藥物後,可魯的情緒反應出現極大的反彈,最後在考量到生活品質之後決定單獨使用口服化療藥物。
不過單獨使用幾周口服化療藥後,可魯的腫瘤不但沒有復發,沒有產生抗藥性,且投藥的頻率開始大幅降低,至今仍未復發。
結論: 惡性腫瘤(癌症)的治療主要的目的是改善生活品質,減少癌症造成的病痛,以及延長存活時間,而少部分的惡性腫瘤(例如:淋巴癌)如果針對某些化療藥物效果良好時,的確是有一點點的機會能夠治好癌症。